2023年1月17日上午,一场医患携手与死神的“赛跑”在呼市中蒙医院拉开了序幕

经了解,患者赵先生,68岁,主因“左侧肢体无力1.5小时”前来就诊。急诊科李志强主任经过诊查考虑患者可能为急性脑梗死,急需溶栓治疗。随后由急诊科医生带领患者查头颅CT、完善血化验等检查。经头颅CT结果回报,没有出血表现,考虑诊断为“急性脑梗死”。

了解到患者既往有冠心病病史,9年前曾行冠脉搭桥术,术后长期口服阿司匹林肠溶片等抗血小板药物,血常规及凝血四项结果回报未见明显异常,患者发病在溶栓治疗时间窗内,和家属详细询问病史,患者没有溶栓禁忌症,经过各项评估患者符合静脉溶栓适应症,向患者及家属交代目前最好的治疗方法为静脉溶栓及一些可能出现如:颅内出血、消化道出血、全身皮肤粘膜出血,过敏反应、溶栓失败、病情加重等风险及并发症。家属了解并同意签属静脉溶栓治疗知情同意书,李主任指示给予患者阿替普酶静脉溶栓治疗,溶栓过程顺利,没有不良反应,溶栓后患者左侧肢体无力有所改善(溶栓前左侧肢体肌力IV级,溶栓后V-)。

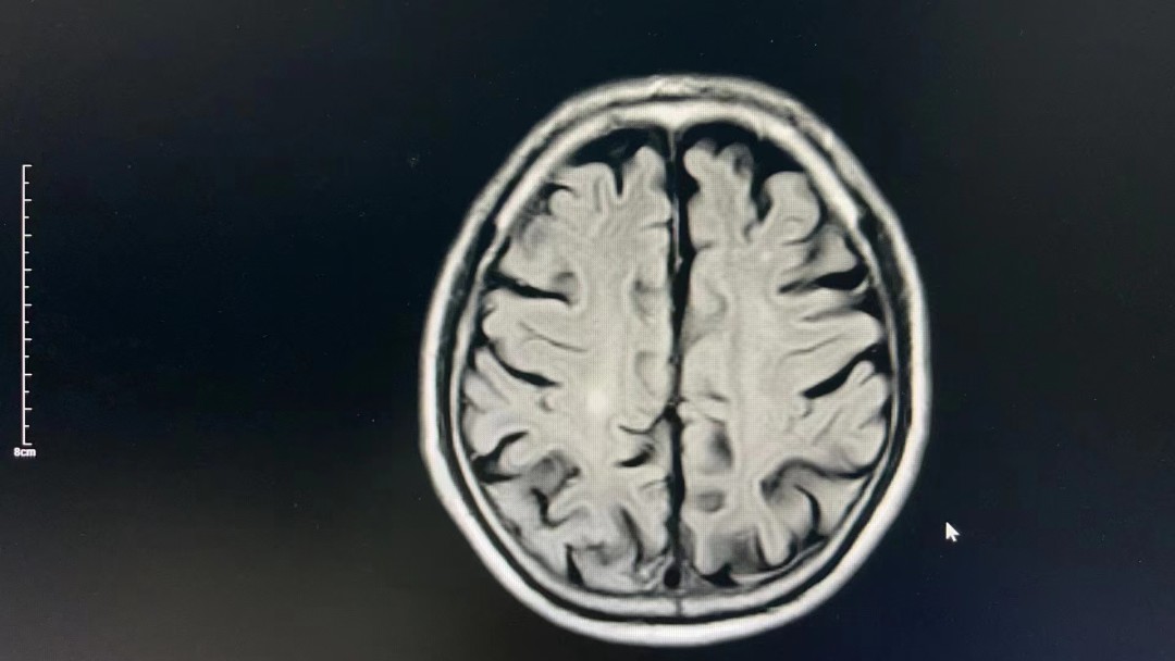
患者后续收治到西医内科继续治疗,完善头颅核磁检查后考虑:“右侧大脑半球多发继续脑梗死”,此次治疗对患者远期生活质量获益较大,减少致残率,家属表示很感谢!